Advanced Imaging at Veterinary Way Animal Hospital
When your pet is hurting, every minute counts. At Veterinary Way Animal Hospital, we utilize top-of-the-line digital radiology equipment to capture high-resolution images of your pet’s internal structures in seconds.
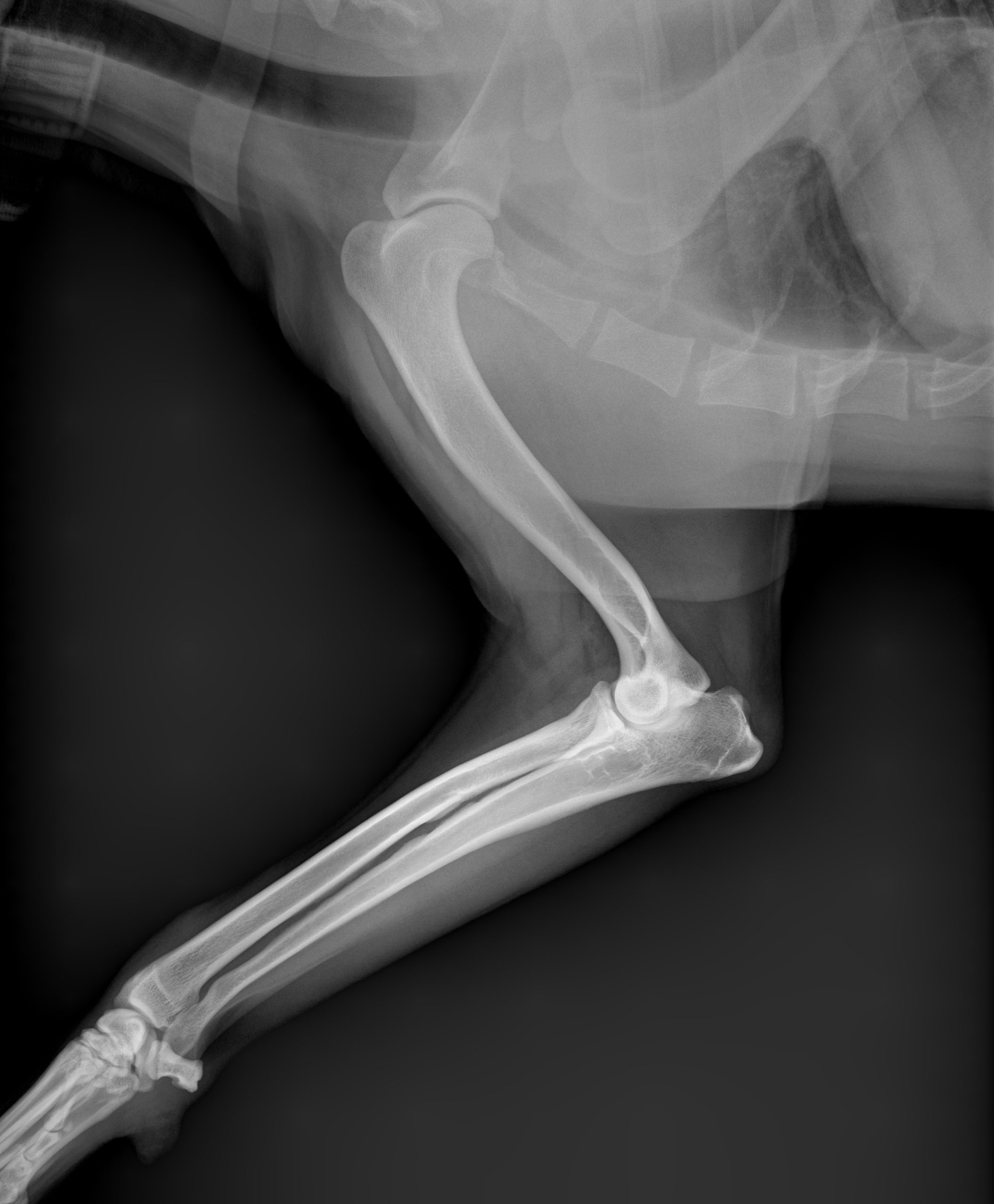
Digital X-rays are a cornerstone of our diagnostic process, allowing our specialty-trained team to perform thorough, in-house evaluations. Compared to traditional film X-rays, digital technology provides clearer images, less radiation exposure for your pet, and the ability to enhance and zoom in on specific areas for a more accurate diagnosis.
Request an Appointment
When Does a Pet Need X-Rays?
Radiology is one of the most versatile tools in veterinary medicine. We typically recommend digital X-rays to evaluate:
- Bone & Joint Health: Identifying fractures, dislocations, and signs of arthritis or hip dysplasia.
- Chest & Heart: Monitoring heart size and shape, as well as evaluating the lungs for pneumonia or tumors.
- Abdominal Issues: Detecting ingested foreign objects (like toys or coins), bladder stones, or enlarged organs.
- Dental Health: Seeing beneath the gum line to identify painful tooth root infections (Digital Dental X-ray).
Collaborative Expertise & Specialized Care
We don’t just take the picture—we ensure it is interpreted with the highest level of expertise.
- Specialist Collaboration: For complex diagnostic cases, we collaborate closely with board-certified radiologists. This ensures that your pet’s images are reviewed by experts to guide the most precise treatment decisions.
- Seamless Integration: Our digital system allows us to share images instantly with specialists or emergency facilities if your pet requires a referral for advanced surgery or internal medicine.
What to Expect During the Procedure
We strive to make the imaging process as stress-free as possible:
- Safety & Comfort: Digital X-rays are completely painless and non-invasive. Most pets can remain awake and comfortable while our technicians gently position them.
- Speed: Because the images are digital, they appear on our monitors instantly. This means less time on the X-ray table for your pet and faster answers for you.
- Low-Stress Handling: For pets that are highly anxious or in significant pain, we may use a mild sedative to ensure we get the clearest images without causing your pet any distress.
Precise, Compassionate Care Every Step of the Way
At Veterinary Way Animal Hospital, our goal is to use the best technology available to keep your pet healthy and comfortable. From routine screenings to emergency trauma evaluations, our digital radiology services are here to provide the clarity you need.
Does your pet need a diagnostic evaluation?
Contact Our Team or call us at (229) 318-1050 to discuss our imaging services.
